ODONTOPEDIATRÍA

img

La paciente llegó con mucha ansiedad en la primera cita. Después de su revisión y su limpieza dental, cambió su actitud terminando muy contenta por haber recibido su diploma por ser una niña libre de caries.

img

Es normal que un niño de 4 años de edad llegue con mucha ansiedad a la consulta dental, a causa de experiencias negativas previas, pero después de un adecuado manejo de conducta, el niño cambia su percepción hacia el tratamiento.
Un buen odontopediatra no es el que restaura un diente adecuadamente, es el que deja una actitud positiva hacia la consulta dental.

img

Al recibir un adecuado manejo de conducta desde la primera cita, el niño ve el tratamiento dental como parte de su rutina y nunca lo va a ver como una amenaza, siempre haciéndolo sentir cómodo y respetando su integridad.

img

Aunque el niño sea pequeño, si aprovechamos las adecuadas técnicas de conducta y el apoyo de hermanos o de algún otro paciente que haya en la clínica, se van a conseguir resultados muy favorables.

img

La tecnología de vanguardia puede ser aplicada en todos nuestros pacientes, incluso en los más pequeños, siempre manejando técnicas adecuadas de conducta e incluyendo todos los procesos en el tratamiento.

img

Este es un paciente sistémicamente comprometido que fue rehabilitado en nuestra clínica, antes de una cirugía de corazón.

ORTODONCIA

img

La paciente se sentía inconforme con su sonrisa, después del tratamiento mejoró su autoestima y seguridad en su persona y su forma de sonreír.

img

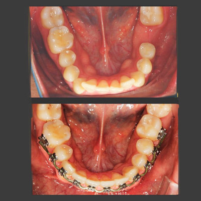
El paciente acudió a la consulta de ortodoncia por presentar una mala posición dental. Padecía de una función inadecuada para la masticación, y esto le imposibilitaba consumir adecuadamente los alimentos.

img

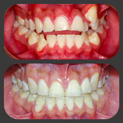
La paciente llega a la consulta por una úlcera en el labio. Cuando la revisamos, y nos dimos cuenta que era un problema por una mala posición, ejecutamos todo con una buena planeación y obtuvimos resultados excelentes.

img

Aunque el niño sea pequeño, si aprovechamos las adecuadas técnicas de conducta y el apoyo de hermanos o de algún otro paciente que haya en la clínica, se van a conseguir resultados muy favorables.

img

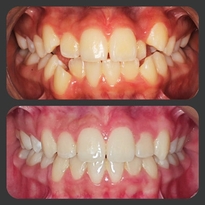
La paciente llegó a la consulta referida por el otorrinolaringólogo por presentar problemas para respirar. Su caso era de una protrusión excesiva, teniendo también problemas de autoestima por su apariencia física. Después de realizar el tratamiento puede respirar mejor y se siente feliz.